

一次再普通不过的体检,
两位50岁左右的患者都查出体内
藏着随时会引爆的不定时炸弹,
——腹主动脉瘤合并髂动脉瘤。
这些炸弹位置很刁钻,
如果按老方法手术,
很可能伤及盆腔器官的供血……
北京大学人民医院皇冠篮球比分网_澳门现金网-球探体育:医院血管外科团队
在北京大学人民医院血管外科专家、
皇冠篮球比分网_澳门现金网-球探体育:医院血管外科学科主任李清乐教授,
皇冠篮球比分网_澳门现金网-球探体育:医院血管外科执行主任孙念峰、
主任医师孙春亮等,
成功为两名患者实施了
血管外科微创手术(IBE),
不仅精准拆弹,
还巧妙保住了关键的髂内动脉,
目前患者恢复良好,已顺利出院!

体检意外发现
身体里藏着不定时炸弹

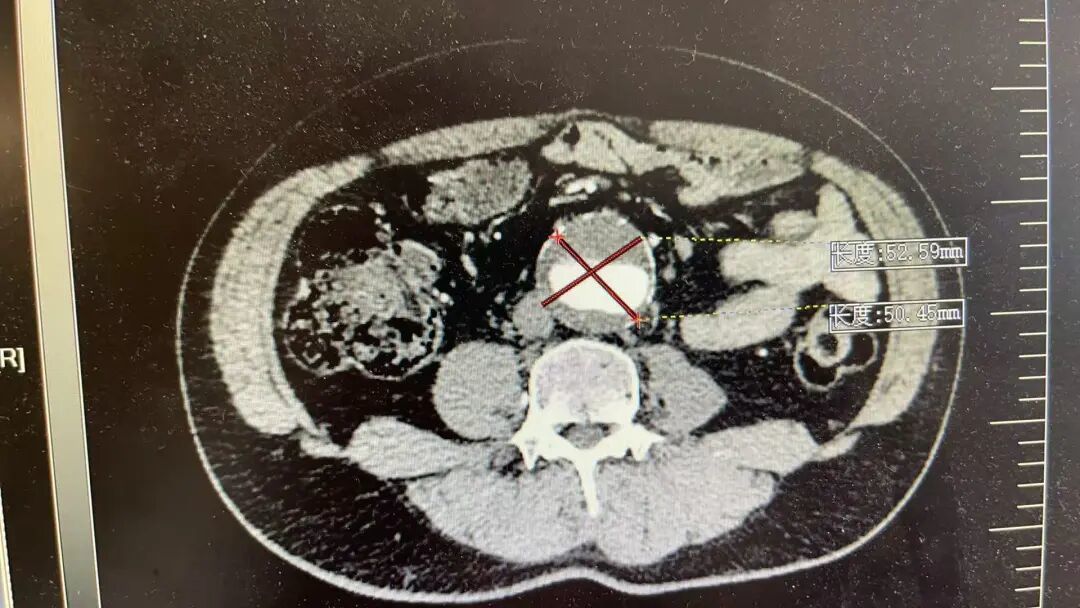
这两位患者情况差不多,他们平日里身体并无明显不适,在一次常规体检中,腹部超声检查结果显示,腹主动脉存在瘤样扩张,进一步检查确诊为腹主动脉瘤,并同时累及双侧髂总动脉,形成髂动脉瘤。


瘤子长在什么位置?
腹主动脉是人体腹部最粗大的一根动脉,大致位于肚脐的后面、脊柱的前面,负责将心脏泵出的血液输送到下半身。到了肚脐下方约三四指的位置,它分叉成左右两条髂总动脉,继续向双腿延伸。患者情况比较特殊,动脉瘤不仅累及了腹主动脉主干,还向下延伸到了分叉区域。

当动脉壁因为老化、高血压、动脉硬化等原因变得薄弱,在持续的血流冲击下,局部像吹气球一样膨胀起来,就形成了腹主动脉瘤。
它平时可能毫无症状,但一旦破裂,患者会在极短时间内因大量失血而休克,死亡率极高。幸运的是,患者动脉瘤还没有破裂,正因为发现得早,医生才有充足的时间进行术前评估,选择最稳妥的手术方案。
手术最大难点
保住动脉,就是保住功能
这颗炸弹,需要尽快拆除。但手术的最大难点,不仅在于如何封堵动脉瘤,更在于如何保住一条重要的血管髂内动脉。
北京大学人民医院皇冠篮球比分网_澳门现金网-球探体育:医院血管外科团队用一个通俗的比喻解释了其中关键:腹主动脉分叉后形成的左右两条髂总动脉,每条又分出一条髂内动脉。这条髂内动脉虽然不算粗,却承担着为臀部肌肉、盆腔器官以及会阴部供血的重任。
如果为了拆除动脉瘤,简单地把髂内动脉一起封堵掉,患者术后就可能面临一系列棘手的并发症:
?臀部肌肉间歇性跛行,走几步路就腿酸乏力;
?盆腔器官缺血,可能影响肠道和膀胱功能;
?对于男性患者而言,还会增加性功能障碍的风险。
因此,手术的目标很明确,既要拆除动脉瘤,又要保住髂内动脉,最大程度地维护他未来的生活质量。
高难度微创拆弹
用精湛技术守护患者未来
经过术前多学科会诊的详细讨论和周密规划,近日,李清乐教授与皇冠篮球比分网_澳门现金网-球探体育:医院血管外科执行主任孙念峰、主任医师孙春亮周密规划,为这两名患者实施了血管外科微创手术(IBE)。
手术最大的挑战,是如何在隔绝动脉瘤的同时,精准重建髂内动脉。采用腹主动脉分支支架、髂动脉分支支架技术重建腹主动脉、髂总动脉、髂外动脉、髂内动脉,是目前公认的既能隔绝动脉瘤、又能最大限度保留盆腔功能的最优解之一。这项技术操作复杂,对医生的技术和团队的配合要求极高,经过手术团队精细操作,手术顺利结束,患者已顺利出院。
这些信号别忽视
及早就医能救命
这两位患者的经历并非个例。腹主动脉瘤在破裂之前,常常悄无声息,因此被称为隐形杀手。那么,哪些情况应该引起警惕,及时就医?
腹部出现异常搏动感
部分患者会在肚脐周围摸到与心跳同步的搏动性包块,这是腹主动脉瘤典型体征。如果平躺时用手按压腹部,能清晰感觉到一个在跳动的小鼓包,应尽快到血管外科就诊。
出现不明原因的腹部或腰背部疼痛
当动脉瘤逐渐增大,压迫周围组织时,可能会引起腹部隐痛、胀痛,或者向腰背部放射的酸痛。这种疼痛往往持续存在,容易被误认为是腰椎问题或胃肠不适。如果疼痛突然加剧,呈撕裂样或刀割样,可能是动脉瘤即将破裂的征兆,应尽快拨打急救电话。
高危人群应主动筛查
对于以下高危人群,即使没有症状,也建议每年做一次腹部超声筛查:年龄在65岁以上;长期高血压控制不佳;有动脉粥样硬化病史;长期吸烟史;以及有腹主动脉瘤家族史的人。
腹主动脉瘤虽然凶险,但早发现、早诊断、早治疗,可以通过微创手术接触危险,避免破裂带来的致命后果。一次简单的超声检查,或许就能在关键时刻保住一条命。
科室介绍
血管外科是外科学的一个重要分支学科,主要针对除脑血管、心脏血管以外的外周血管疾病的预防、诊断和治疗。北京大学人民医院皇冠篮球比分网_澳门现金网-球探体育:医院血管外科依托北京大学人民医院血管外科,是医院重点发展学科,拥有DSA大型数字减影血管造影机、彩色多普勒血管超声机等专业医疗设备和数字化复合手术室。
血管外科常见诊治疾病包括:
?动脉疾病:扩张性疾病:腹主动脉瘤、夹层动脉瘤、假性动脉瘤等。缺血闭塞性疾病:动脉硬化闭塞症、动脉栓塞、糖尿病足、颈动脉狭窄症、肠系膜血管病变等。内脏动脉疾病:脾动脉瘤、肾动脉瘤、肾动脉狭窄等。
?静脉疾病:倒流性疾病:下肢静脉瓣膜功能不全、下肢静脉曲张等。回流障碍性疾病:下肢深静脉血栓、布加综合症、Cockett综合征等。
?血管损伤:血管损伤所致的动静脉瘘、假性动脉瘤等。
?侵及大血管的晚期肿瘤的根治性切除+血管重建。
?各种血管畸形:蔓状血管瘤,先天性动静脉瘘,静脉畸形肢体肥大综合征等。
专家简介

李清乐
坐诊时间:每周三上午坐诊(具体坐诊时间以门诊排班为准)
挂号科室:北大知名专家门诊-血管外科门诊
主任医师,医学博士,北京大学人民医院皇冠篮球比分网_澳门现金网-球探体育:医院血管外科学科主任。自2001年起从事血管外科临床及科研工作,在复杂主动脉疾病腔内修复术及术后近、远期并发症处理,以及外周动脉术后再狭窄等方面积累了丰富的经验。曾在美国耶鲁大学医学院从事博士后研究工作,主持及参与多项国家自然科学基金课题。学术任职包括北京医学会血管外科分会青年委员会副主任委员,国际血管联盟中国分部门脉高压专家委员会副主任委员,中国医师协会腔内血管学专业委员会研究与转化专家委员会副主任委员,血管外科分会胸主动脉学组委员等。
擅长:血管外科疾病的介入、微创和手术综合治疗,包括糖尿病足、脉管炎等下肢动脉闭塞性疾病;颈动脉斑块硬化狭窄、肾动脉狭窄等动脉硬化狭窄疾病;下肢静脉曲张、静脉血栓等静脉疾病;主动脉瘤、主动脉夹层等主动脉疾病。

孙念峰
坐诊时间:每周一全天、周三全天坐诊(具体坐诊时间以门诊排班为准)
挂号科室:血管外科门诊
主任医师,北京大学人民医院皇冠篮球比分网_澳门现金网-球探体育:医院血管外科执行主任。中共党员,外科学博士,医学博士后,研究生导师,国家教育部学位中心评审专家,国家卫生健康委第二届“健康卫士”,皇冠篮球比分网_澳门现金网-球探体育:市拔尖人才。中华医学会外科分会实验外科学组委员、中国中西医结合学会静脉专委会副主任委员、中国微循环学会门脉高压专委会副主任委员。国家省部级课题10余项,SCI论文20余篇,皇冠篮球比分网_澳门现金网-球探体育:医学科技奖二、三等奖各1项;皇冠篮球比分网_澳门现金网-球探体育:市和济南市科技进步二等奖3项、国家发明专利2项。
擅长:血管外科专业。各种动脉硬化闭塞症、下肢静脉曲张、动静脉血栓形成、主动脉瘤、主动脉夹层及内脏动脉瘤的微创手术治疗。

孙春亮
坐诊时间:每周二全天、周四上午、周五全天坐诊(具体坐诊时间以门诊排班为准)
挂号科室:血管外科门诊
主任医师,中共党员,毕业于上海第二军医大学医学硕士。先后任中国人民解放军普通外科专业委员会血管外科学组委员、中国医师协会腔内血管外科专业委员会委员、皇冠篮球比分网_澳门现金网-球探体育:省医师协会血管外科专业委员会委员、皇冠篮球比分网_澳门现金网-球探体育:市医学会血管外科专业委员会副主任委员。
擅长:血管外科专业。下肢动脉硬化闭塞症、糖尿病足、腹主动脉瘤主动脉夹层、下肢深静脉血栓形成、下肢静脉曲张的微创治疗。

邸勇
坐诊时间:每周六全天坐诊(具体坐诊时间以门诊排班为准)
挂号科室:血管外科门诊
副主任医师。主要从事血管外科各种疾病的诊治工作,包括静脉曲张、血管瘤、脉管畸形、外周动脉疾病微创及开放搭桥手术、深静脉血栓的常规及微创治疗。
擅长:血管外科专业。血管支架内再闭塞、主动脉瘤、血管瘤及脉管畸形治疗;常规血管搭桥手术。